Skip to main content
Pepin Valley Dental
Marie A. Mueske DDS
Andrew B. Christensen DDS
Jessica A. Voth DDS
Pepin Valley Dental
Marie A. Mueske DDS
Andrew B. Christensen DDS
Jessica A. Voth DDS
Make an Appointment
Like us on Facebook
Leave a Google Review
(651) 345-3023
1350 North 7th Street • Lake City, MN 55041
Menu
Call
Book Now
Map
Home
About Us
Our Team
Technology
Office Pictures
Services
View All
Cosmetic Bonding
Cosmetic Dentistry
Crowns & Bridges
Dental Sleep Medicine
Dentures
Family Care
Porcelain Veneers
Preventive Dentistry
Restorative Dentistry
Root Canal Therapy (Endondontics)
Teeth Whitening
Tooth-colored Fillings
Testimonials
Forms
FAQs
View All
Crowns & Bridges
Preventive Dentistry
Restorative Dentistry
Teeth Whitening
Blog
Financial
Contact
Pepin Valley Dental
>
Smile Gallery
>
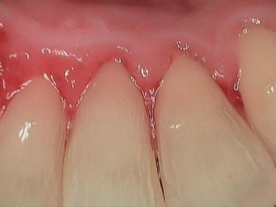
Major Calculus Cleaning
Major Calculus Cleaning
Return to Smile Gallery
Next
This patient had not received professional dental care for 3 years. In that time, more calculus than normal had built up. We removed the calculus and the patient was very surprised at the results!
Related Services:
Restorative Dentistry
Crowns & Bridges
Cosmetic Dentistry
Preventive Dentistry
Place mouse over picture to pause
Before
After
Before
After
Improve your smile today – call to schedule a consultation!
Claim Now!
OK!
×
×
Contact Us Today
Give Us A Call
Pepin Valley Dental -
(651) 345-3023
Send Us an Email
Make an Appointment
Contact Us
Ready to Schedule an Appointment?
Book Now
Have Questions? Contact Us:
Full Name
* (Req)
Phone
Email
* (Req)
Are you a?
New Patient
Current Patient
How would you like us to contact you?
Please choose
Email
Call
How did you hear about us?
Please choose
I'm an existing patient
Google/Bing
Mailer
Word of mouth
Social media
Other
Who Referred You?:
Appointment Preferences
Monday
Tuesday
Wednesday
Thursday
Friday
Additional Comments
This site is protected by reCAPTCHA and the Google
Privacy Policy
and
Terms of Service
apply.
Required Field
Sending...
×
This Patient's Experience
Loading Testimonial...
Loading Case...